Найдено результатов: 100
Ventas-Stanki

Какие бывают станки для холодной ковки? (обзор ручных станков Stancraft)

Станок для изготовления венков.

Станко Ф все станки

Станко Ф все станки

Обзор станка горячего тиснения древесины и МДФ MSY1300 от компании Stankoff.RU

ОЧЕНЬ ХАРДКОРНОЕ ПРОХОЖДЕНИЕ!!! НОВЫЙ ШТУРМ ЗОНЫ 51 В STANDOFF 2 СТАНДОФФ 2

ПОЧЕМУ ТЕЧЕТ из ВЕНТИЛЯЦИИ. Решено!

Сборка душевого ограждения-ширмы Вента-Хром, Вента-Блэк Triton (Venta-Chrome, Venta-Black)

КАК ИДЕАЛЬНО ПРОЙТИ ШТУРМ ЗОНЫ 51? НОВЫЙ V3 IN STANDOFF 2 / СТАНДОФФ 2

Фрезерные станки

Экстремальные Прятки в Парке Трамплинов (Близнецы Стокс | Stokes Twins)

Фуганок и рейсмус в одном станке. Подходящий станок для домашней мастерской

Фальцепрокатный станок для вентиляции

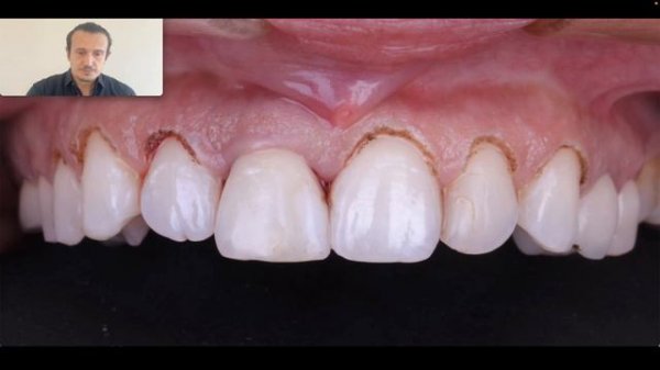
Dr. Ventseslav Stankov_ Immediate Implant Combined with Crown Lengthening

Зубошлифовальные станки с ЧПУ модели 5М841Л и 5843Л. СтанкоНОВА / Stankonova

Монтаж вентиляторов Vents TT100 и Vents TT100T.

СТАНЦЫ

Как соединить трубу 110 Ø с вентвыходом и организовать вентиляцию фановой трубы с выходом на кровлю

Что такое вентилируемый фасад? Состав и преимущества вентфасада

Мотор на ПРУЖИНАХ - 0% ВИБРАЦИИ в салоне

Гибкая вставка для вентиляции STALMAX LFС

Установка кофра на скутер Venta Smart 2.

Принцип работы эластичных строп линейки «аЕ» VENTO

14 самых недорогих станков для бизнеса на 2023+ Оборудование для бизнеса
Что ищут еще по теме: