19. Пищеварительная система Часть 1 лекция по гистологии
Описание
Проверь себя - пройди короткий тест по теме https://forms.gle/JyXifBn5cje8oFyZA
Тайм-коды:
0:00 Вступление
0:30 Ротовая полость
1:38 Слизистая полости рта
5:44 Специализированный эпителий. Язык
7:19 Сосочки языка
8:00 Нитевидные сосочки
9:57 Грибовидные сосочки
11:09 Листовидные сосочки
12:18 Желобоватые сосочки
13:47 Вкусовые почки. Клетки вкусовых почек
16:00 Рецепция вкусов
20:08 Эмбриональное развитие языка
21:21 Слюнные железы
23:59 Сероциты
25:59 Мукоциты
26:54 Сравнение серозных, смешанных и слизистых ацинусов
27:47 Миоэпителиальные клетки
28:39 Вставочные протоки
29:55 Исчерченные протоки
32:05 Выводной проток
33:25 Отличие крупных слюнных желез
35:14 Глотка
36:20 Эмбриональное развитие глотки
37:27 Дериваты глотки
40:23 Лимфоидное кольцо
42:25 Миндалины
43:21 Молекулярная регуляция
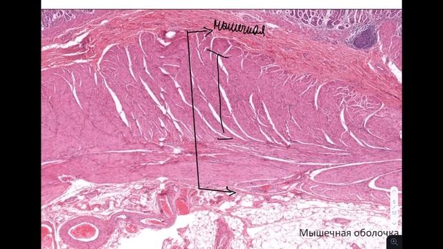
43:37 Пищевод
Рекомендуемые видео




















